駅徒歩
5
19
まで受付
お気軽にお問い合わせください 03-3571-6110 お電話でのご連絡は15時以降スタッフが対応いたします。

診察時間 (火〜土)

11:00〜20:00自費
15:00〜20:00保険
※土曜日は17:00まで

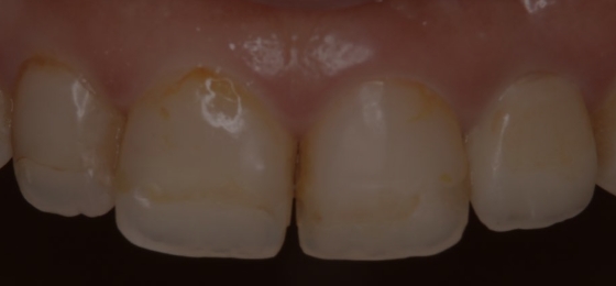
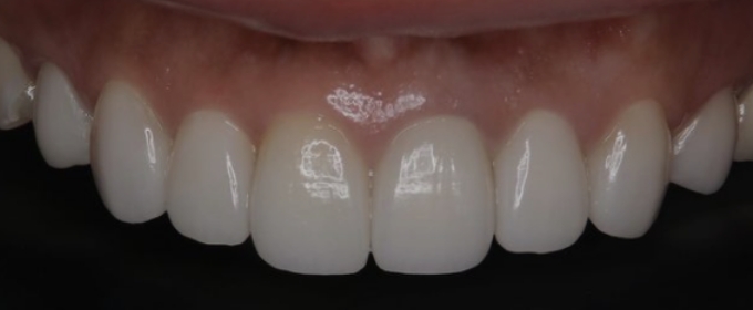
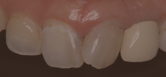
「色、形態、艶、スマイルライン、
すべてを理想に近づける
ラミネートベニア」

スクロール
院長プロフィール写真 院長プロフィール写真

ごあいさつ Message

当院はラミネートベニアに特化したクリニックです。

人は魅力的な笑顔に好感を持ち、コミュニケーションが生まれます。
清潔感あふれる笑顔は人生をより豊かに彩ると信じています。
当院はやり直しのない治療を最大の目標とし、天然歯と識別できないほどに
調和した健康的なラミネートベニアをご提案します。

ラミネートベニア

歯の表面を薄く削り、薄く透明感のあるセラミックを貼り付けることで、天然歯の特徴を残しながら理想的な色、形を作り上げます。
ただし、この技術には歯科医師のみならず歯科技工士の高い技術が必要とされ、極めて特殊な分野であります。

ラミネートベニアをお考えの
患者さまへ
Hospitality

携帯を持つ手

Free consulting
ご対面によるカウンセリング前
公式ラインアカウントにて、事前無料相談が可能です。

  • 院長へ直接
    質問ができる
  • 疑問点を事前に
    解消できる

当院では、希望される全ての患者様に無料カウンセリングを行います。
ですが、カウンセリングにお越しになる前に少しでも不安や疑問点などを解消していただけるよう、簡易的な事前カウンセリングを含めLINE@にて院長塩野が直接返信をさせていただきます。
他院で治療をご検討されている方、なんとなく聞いてみたいだけの方でもどうぞ遠慮なくご連絡ください。
対面カウンセリングのご予約はこちらからでも承ります。
※治療本数や治療期間、費用または施術の適応症例などの具体的な診断は、実際に口腔内を拝見後のご説明となりますことをご了承ください。

携帯を持つ手
紙とペン

careful counseling
2度 のカウンセリング

  • 納得がいくまで
    シミュレーションができる
  • 全ての工程を
    院長が担当

具体的なカウンセリングの流れを説明します。
当クリニックではカウンセリングを「2度」行います。

1度目のカウンセリング

まずは患者様のお話をお伺いします。 ラミネートベニアを希望される理由は様々です。
容姿を理由に苦しめられたトラウマがあり、容姿に対するコンプレックスを解消するために施術をする方、 職業柄容姿が優れているほうが収入に繋がるという職業の方。
そういった理解し易い理由があるわけではなく、最近多いのは審美歯科治療のハードルが下がりメイク感覚というのでしょうか、新しい洋服を買うとかヘアスタイルを変えるとかそういったことと同じくらいの感覚の方まで様々です。
人により悩みは千差万別。コンプレックスとは不思議なもので、他人からしてみれば、「どうしてそんなことを気にしているの?」と思われることもあるかもしれませんが、自分に自信が持てないのであればそれは立派なコンプレックスです。

1度目のカウンセリングで資料取りを行います
口腔内検査
お口の中の写真を撮っていきます。お口を広げるためのワイダーや鏡を用いて撮影をします。
写真を撮ることで患者様にも分かりやすくご説明できますし、ビフォーアフターの比較もしやすくなります。
顔貌撮影
カメラを用いて上半身の写真を撮影します。
顔の形や肌の色、瞳孔の位置の左右差、口唇の左右対称性、鼻軸の垂直性などの診断をします。
歯形取り
石膏模型を製作するための歯型を取ります。これは現状の歯並びを立体的に診断するためのものです。
レントゲン撮影
歯を支えている骨や顎関節の状態を確認したり、歯周ポケットの中の歯石の有無。
不適合な被せ物や詰め物の精査、神経の処置をされた歯の予後確認のためにも撮影することがあります。

資料取りを行うことで正確な診断を行うことができ、患者様により良い施術のご提案をすることが可能となります。
資料取りから全て院長が行い、その結果をもとに患者様を診断し、ご希望があれば次回2度目のカウンセリングにて術後のシミュレーションを行います。

歯の模型

2度目のカウンセリング

1度目のカウンセリングでお取りした歯型を石膏模型に起こし、その模型を使用して実際にラミネートベニアを作るように表面を削ります。
削った後、術後の完成イメージを想定してワックスで表面の形態を作ります。
「こんなはずではなかった」というようなことがないように、事前に完成イメージをご確認いただきます。
「2度目のカウンセリング」では実際に歯を削る前に、術後のイメージを事前に確認いただけるということです。
大切なのは、術後のイメージを患者様と施術者がしっかり共有していること。
模型をご覧になられて、「これだったらやってみたいな」と思われれば次回から施術に入ります。

紙とペン
施術中の手元

medical treatment
施術

  • 仮歯で日常生活を
    体験できる
  • 納得いくまで院長に
    直接相談可能

2度目のカウンセリング時に使用した、「術後のイメージ模型」をもとに歯の表面を少し削り、ラミネートベニア製作用の歯型を取ります。
その後に仮歯を作るのですが、事前に「シミュレーション」をした形態をそのまま「仮歯」として置き換えます。
これはとても重要なステップで、事前にご確認いただいた術後の「イメージ形態」が本当にお顔に似合うのかどうかをご自身でご確認いただき、こちらでもしっかりと診断します。
仮歯製作翌日から、LINEで形態や白さについて患者様と私が直接やりとりをします。
周囲の反応など細かいこともお聞かせください。
機能的に問題のない範囲で形態修正などのご要望に応じます。

約3週間後に最終的なラミネートベニアが完成。
まず、術後の「シミュレーション模型」で形態を確認、その後「仮歯」で再度確認。
そこからラミネートベニアへ落とし込んでいく。
このような流れで施術は進んでいきます。
「こんなはずではなかった」とならないように、お互いに各ステップで確かめ合いながら作り上げていきます。

施術中の手元
歯の模型

follow up service
アフターフォロー

  • 生涯保証
  • 安心して施術を
    受けられる

ラミネートベニアは外れる、割れるとよくご意見をいただきます。
しっかりと噛み合わせの診断をして精密な接着を施せば、基本的にはそのようなトラブルは起こりません。
ですが、もし日常生活でラミネートベニアの離脱や破折が起こった場合、「一生涯こちらで保証」いたします。
メンテナンスや歯ブラシを怠り、大きな虫歯や歯周病によるダメージ、もしくは強打をして歯そのものが折れたケースなどは、ラミネートベニア の問題ではなく治療が必要となります。
そういった場合は治療費を再度ご負担いただきます。
「生涯補償」は安心して患者様に施術を受けていただきたいという思いと、私の自信からくるご提案です。

歯の模型
LINE相談・予約 症例はこちら 矢印 TOP
矢印 TOP
LINE相談・予約 症例はこちら

遠方からお越しの患者様へ、
当院のアクセスと近隣の宿泊施設を事前にご確認ください。
Access

院名
銀座7丁目デンタルオフィス
所在地
〒104-0061
東京都中央区銀座7-6-2石井ビル2F
最寄り駅
銀座駅 徒歩5分
TEL
03-3571-6110
お電話でのご連絡は15時以降スタッフが 対応いたします。
診療時間
火・水・木・金・土
【自費診療】11時〜20時
【保険診療】15時〜20時
※保険診療は14:30から受付開始
※土曜日は17:00までの診療
休診日
日・月・祝
診療時間 日・祝
【自費診療】
11:00〜20:00
【保険診療】
15:00〜20:00

※保険診療は14:30から受付開始となります
※土曜日は17:00までの診療
※休診日:日・月・祝

お問い合わせ Contact

お気軽にお問い合わせください。
※院長が直接対応いたします。